NU, UCL, MRC and Wellcome logos
Back

An in vivo and in vitro spatiotemporal profile of human midbrain development

 

The data below has been very kindly submitted by Dr Serena Barral, UCL GOS Institute of Child Health.

An anatomical analysis of the developing human midbrain from 6 post-conceptional weeks (PCW) to 22 PCW reveals increased tissue complexity, characterized by the emergence of dopaminergic nuclei, as highlighted by immunofluorescence analysis for tyrosine hydroxylase (TH).

Click on the images below to enlarge

 

 

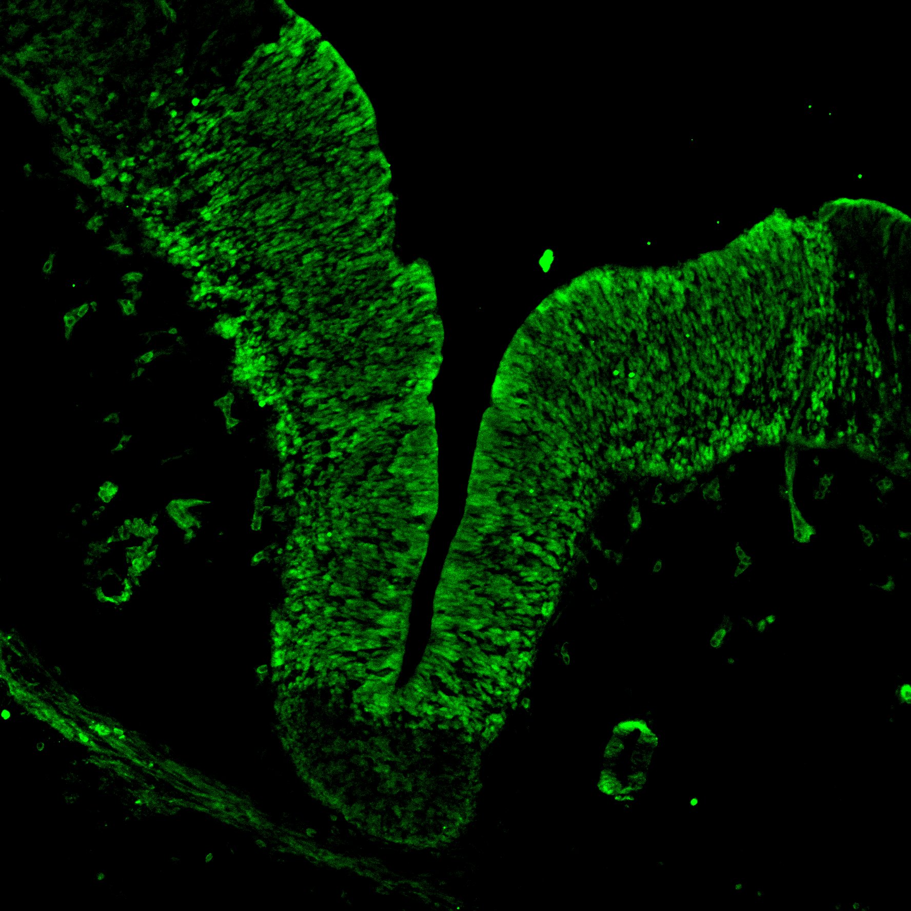
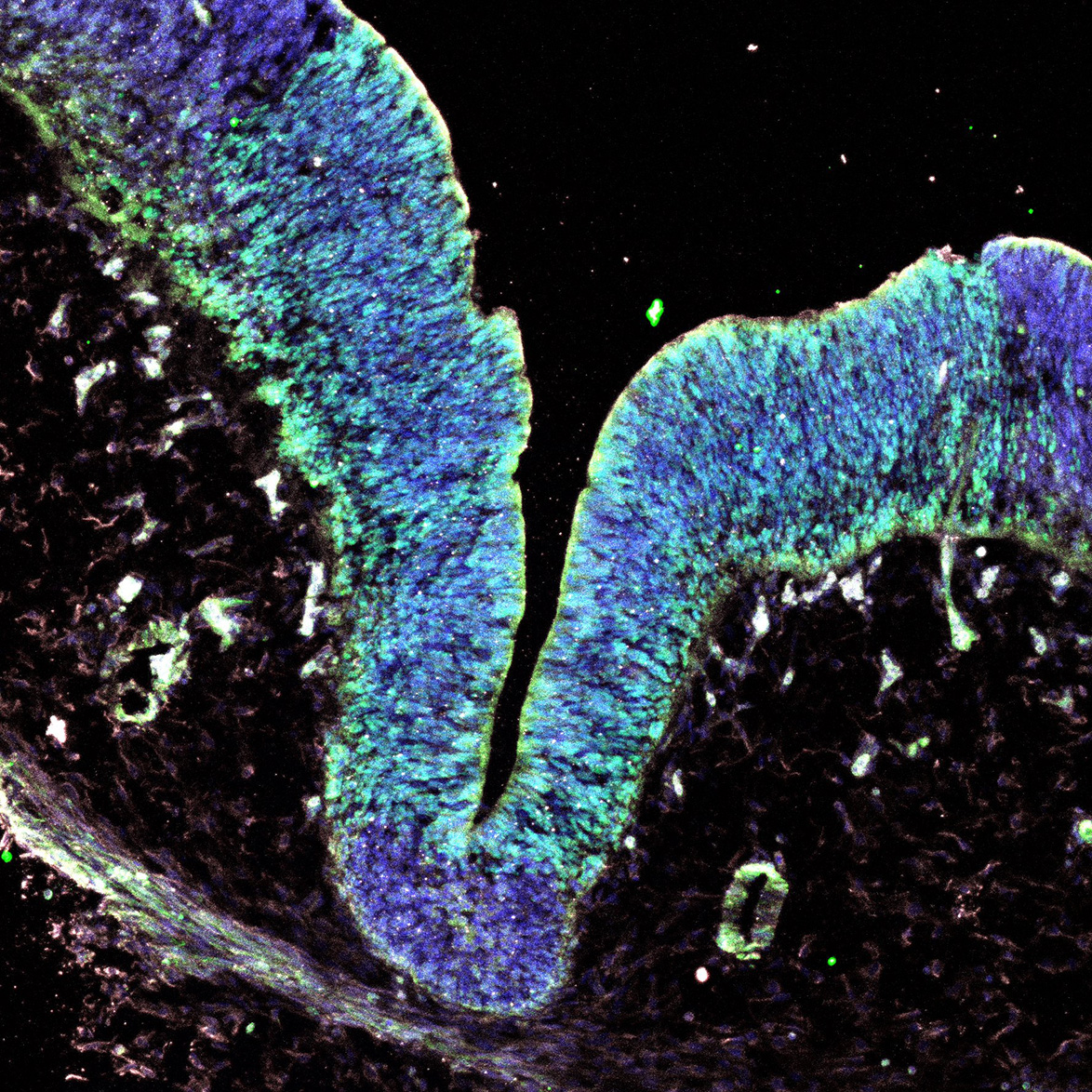
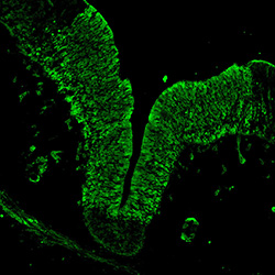
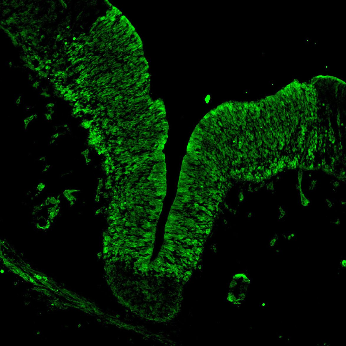
6PCW

DAPI

6PCW human midbrain

KI67

6PCW human midbrain

Merged

6PCW human midbrain

DAPI

6PCW human midbrain

MAP2

6PCW human midbrain

TH

6PCW human midbrain

Merged

6PCW human midbrain

DAPI

6PCW human midbrain

OTX2

6PCW human midbrain

Merged

6PCW human midbrain

 

 

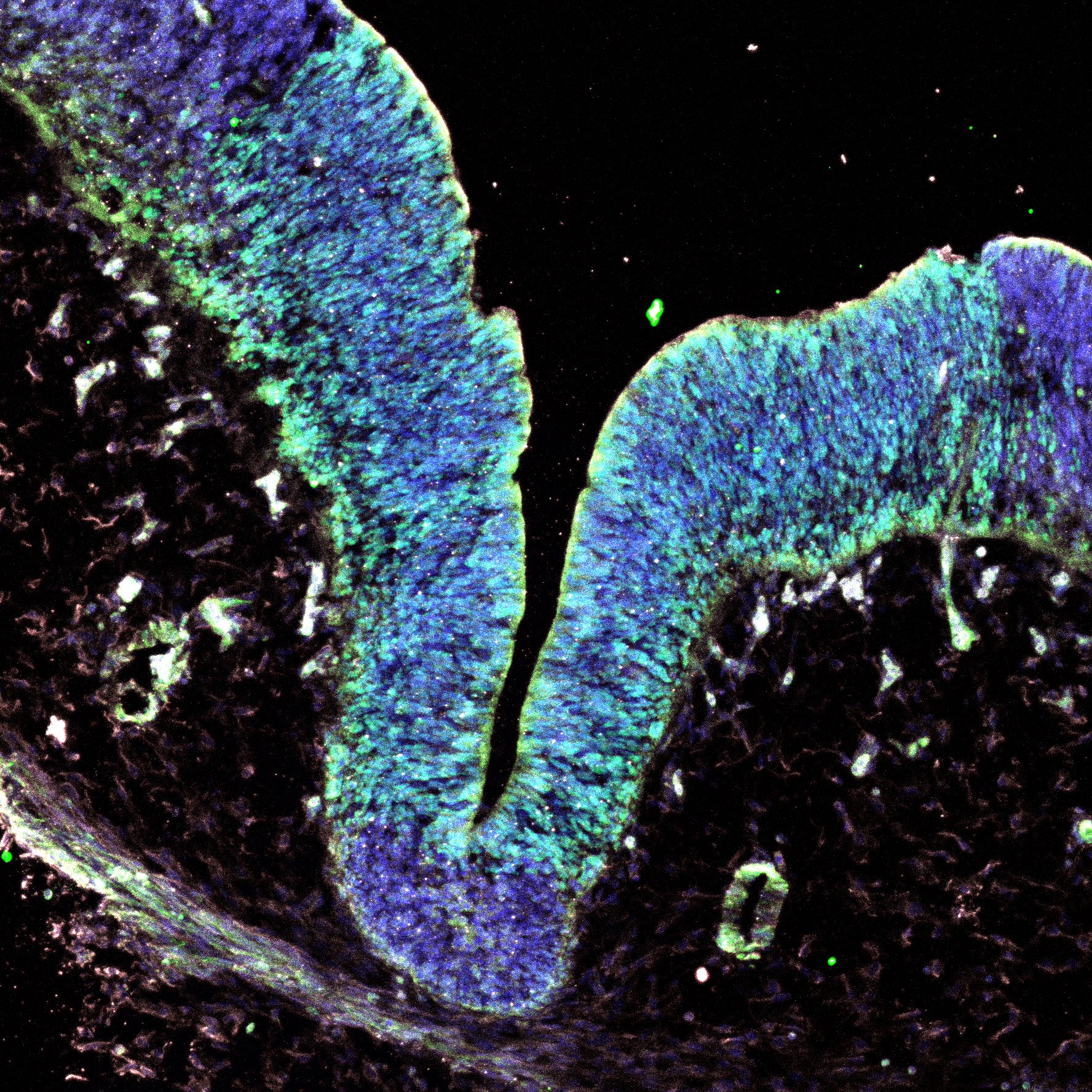
6PCW

DAPI

6PCW human midbrain

SOX2

6PCW human midbrain

LMX1A

6PCW human midbrain

Merged

6PCW human midbrain

DAPI

6PCW human midbrain

LMX1A

6PCW human midbrain

FOXA2

6PCW human midbrain

Merged

6PCW human midbrain

 

 

7PCW

DAPI

7PCW human midbrain

MAP2

7PCW human midbrain

TH

7PCW human midbrain

Merged

7PCW human midbrain

DAPI

7PCW human midbrain

MAP2

7PCW human midbrain

SOX2

7PCW human midbrain

Merged

7PCW human midbrain

 

 

7PCW

DAPI

7PCW human midbrain

MAP2

7PCW human midbrain

TH

7PCW human midbrain

Merged

7PCW human midbrain

DAPI

7PCW human midbrain

MAP2

7PCW human midbrain

SOX2

7PCW human midbrain

Merged

7PCW human midbrain

 

 

11PCW

DAPI

11PCW human midbrain

MAP2

11PCW human midbrain

SOX2

11PCW human midbrain

Merged

11PCW human midbrain

DAPI

11PCW human midbrain

TH

11PCW human midbrain

Merged

11PCW human midbrain

 

 

11PCW

DAPI

11PCW human midbrain

MAP2

11PCW human midbrain

SOX2

11PCW human midbrain

Merged

11PCW human midbrain

DAPI

11PCW human midbrain

MAP2

11PCW human midbrain

TH

11PCW human midbrain

Merged

11PCW human midbrain

 

 

12PCW

DAPI

13PCW human midbrain

GFAP

13PCW human midbrain

TH

13PCW human midbrain

Merged

13PCW human midbrain

DAPI

13PCW human midbrain

MAP2

13PCW human midbrain

TH

13PCW human midbrain

Merged

13PCW human midbrain

 

 

13PCW

DAPI

13PCW human midbrain

GFAP

13PCW human midbrain

TH

13PCW human midbrain

Merged

13PCW human midbrain

DAPI

13PCW human midbrain

MAP2

13PCW human midbrain

TH

13PCW human midbrain

Merged

13PCW human midbrain

 

 

15PCW

DAPI

15PCW human midbrain

MAP2

15PCW human midbrain

TH

15PCW human midbrain

Merged

15PCW human midbrain

 

 

16PCW

DAPI

15PCW human midbrain

MAP2

15PCW human midbrain

TH

15PCW human midbrain

Merged

15PCW human midbrain

 

 

17PCW

DAPI

17PCW human midbrain

MAP2

17PCW human midbrain

TH

17PCW human midbrain

Merged

17PCW human midbrain

DAPI

11PCW human midbrain

MAP2

11PCW human midbrain

Merged

11PCW human midbrain

 

 

19PCW

DAPI

19PCW human midbrain

MAP2

19PCW human midbrain

TH

19PCW human midbrain

Merged

19PCW human midbrain

DAPI

19PCW human midbrain

MAP2

19PCW human midbrain

TH

19PCW human midbrain

Merged

19PCW human midbrain

 

 

22PCW

DAPI

22PCW human midbrain

GFAP

22PCW human midbrain

TH

22PCW human midbrain

Merged

22PCW human midbrain

DAPI

22PCW human midbrain

MAP2

22PCW human midbrain

TH

22PCW human midbrain

Merged

22PCW human midbrain